Chronic Pancreatitis
On this page
Overview
Chronic pancreatitis begins as acute pancreatitis and becomes chronic when irreversible scarring of the pancreas occurs. There are a number of things that increase a person's risk of developing this condition, such as alcohol consumption, smoking, genetic factors and other conditions or traumatic events that injure the pancreas. The pancreas may eventually stop producing the enzymes necessary for your body to digest and absorb nutrients. In its advanced stages, the disease can cause the pancreas to lose its ability to produce insulin.
Our approach to chronic pancreatitis
UCSF offers state-of-the-art care for a wide range of pancreatic disorders, including chronic pancreatitis. Treatment for chronic inflammation of the pancreas depends on the cause, severity of the patient's pain and effectiveness of previous treatment approaches.
We begin by managing nutrition and seeking to relieve pain. If patients don't respond to these treatments, we may consider surgical options. Our team is highly trained in the latest minimally invasive techniques and postoperative care.
UCSF is one of just a few hospitals in the world where surgeons perform an innovative procedure to remove the entire pancreas and also transplant the patient’s own islet cells. This surgery alleviates pain while preserving the body's ability to secrete insulin, which reduces the risk of surgically induced diabetes.
Signs & symptoms
Most people with chronic pancreatitis experience pain in the back and abdomen. In some cases, abdominal pain goes away as the condition advances, probably because the pancreas is no longer making digestive enzymes
Weight loss is often a symptom of chronic pancreatitis because the body does not secrete enough pancreatic enzymes to break down food and nutrients are not absorbed normally. Poor digestion leads to excretion of fat, protein and sugar in the stool. If the insulin-producing cells of the pancreas have been damaged, diabetes may develop.
Diagnosis
The diagnosis of chronic pancreatitis frequently can be made based entirely on your symptoms and medical history. Endoscopic retrograde cholangiopancreatography (ERCP), computerized tomography (CT) scans, and endoscopic ultrasound also can help your doctor make a definite diagnosis.
Pancreatic function tests help determine if your pancreas is still making enough digestive enzymes. In more advanced stages of the disease when diabetes and malabsorption occur, your doctor may recommend blood, urine and stool tests.
Treatments
Treatment of chronic pancreatitis depends on the cause of the disease, severity of the associated pain and effectiveness of former treatment approaches. The first step of treatment focuses on relieving pain and eating a diet that is high in carbohydrates and low in fat. It is essential to stop drinking alcohol entirely.
Your doctor may prescribe pancreatic enzymes to take with meals if your pancreas does not secrete enough of its own enzymes. The supplemental enzymes should be taken with every meal to help your body digest food and regain some weight. If you have diabetes, insulin and other drugs may be needed to control blood sugar levels.
Surgery
There are a number of surgical procedures available for patients whose pain is not relieved by medications or other approaches. Surgery may involve removing stones from the pancreas, draining blocked ducts, or partial or entire removal of the pancreas.
Pancreatectomy
A partial pancreatectomy involves removing part of the pancreas, such as the body or tail, during a Puestow or Whipple procedure. A total pancreatectomy involves removing the entire pancreas. While a total pancreatectomy is usually effective in relieving pain in patients when all other treatments fail, it induces permanent diabetes, requiring patients to take insulin shots or use an insulin pump for the rest of their lives. This is because the pancreas contains Islets of Langerhans — also known as islets or islet cells — that regulate the body's blood sugar levels.
UCSF's Islet and Cellular Transplantation Center is one the few medical centers in the country to offer a total pancreatectomy performed with an islet autotransplant. This innovative dual procedure helps alleviate pain caused by pancreatitis, while preserving the ability to secrete insulin and reducing the risk of developing surgically induced diabetes.
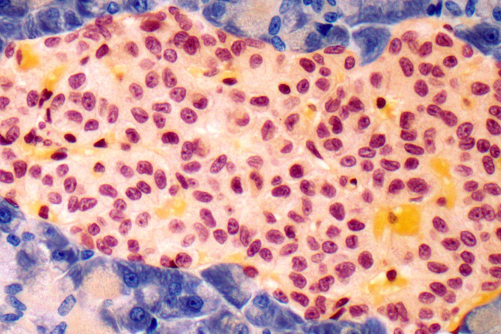
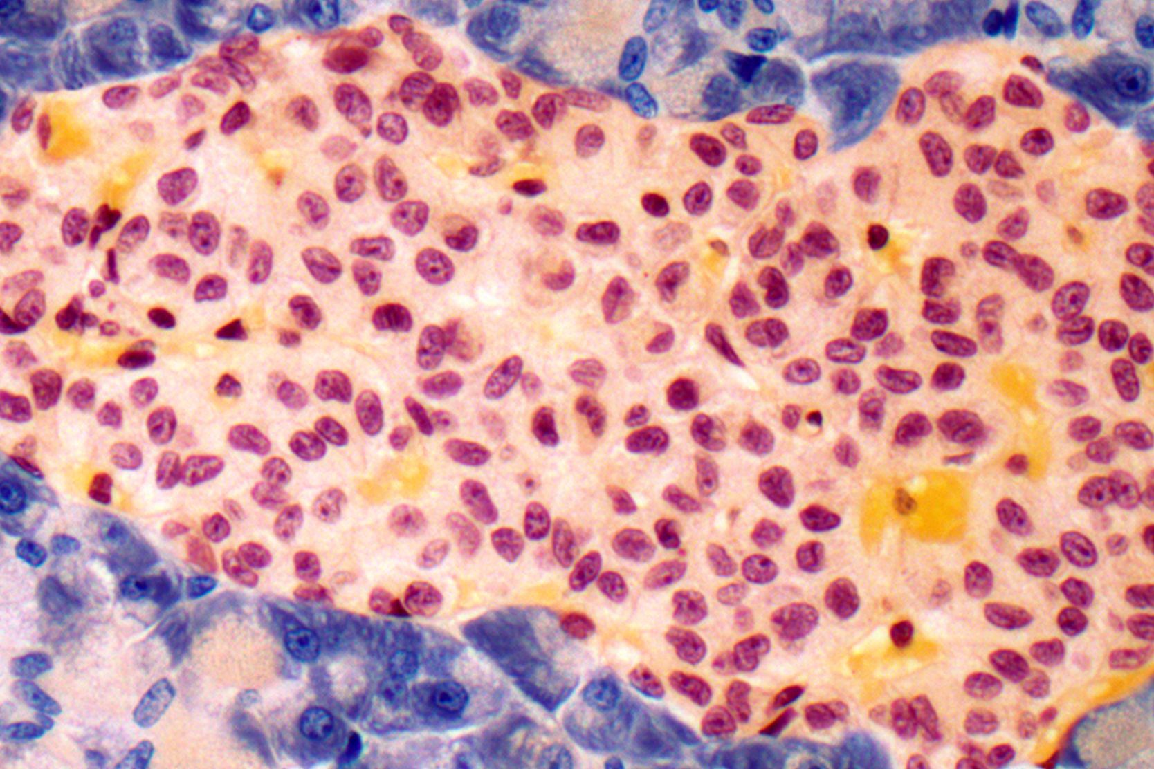
Pancreatectomy and islet autotransplant
Patients with chronic pancreatitis have the option of having an islet auto (meaning "self") transplant after their total pancreatectomy. During an islet autotransplant, the patient's own islet cells are isolated from their removed pancreas and then put back into the patient, where they start producing insulin.
This procedure may prevent diabetes from developing or make the diabetes milder than if a patient had had a pancreatectomy alone.
While the goal is to eliminate each patient's pain, preserve their pancreatic function and prevent diabetes, there is no guarantee that diabetes will not develop because there is no way of determining the quality of a patient's islets before transplantation.
Patients who have a pancreatectomy with an islet autotransplant have a 50 percent chance of becoming insulin dependent for life, while patients who have only a pancreatectomy have a 100 percent chance of becoming permanently insulin dependent. Patients who are at the highest risk of developing diabetes are those who have not had prior surgery to remove a portion of their pancreas.
Typically, patients spend two to three weeks in the hospital following a pancreatectomy with an islet autotransplant. During this time, patients receive an insulin drip and learn how to manage diabetes in case they develop the condition.
As islets start working, patients are able to reduce the amount of insulin they take. Within a month, it usually becomes clear whether islets are working well enough for patients to completely stop taking insulin. If diabetes develops, it is important that a patient works closely with their doctor to develop an insulin treatment plan.
Awards & recognition

Best in Northern California for gastroenterology & GI surgery
More treatment info

Islet Autotransplantation for Chronic Pancreatitis
Undergoing this procedure after a total pancreatectomy helps many patients produce their own insulin and have significantly less pain.
Related services & treatments
Specialties
- Gastroenterology
- Hepatobiliary and Pancreatic Surgery
- Pancreas Transplant Surgery
Treatments
- Pancreatectomy
- Pancreatic Auto-Islet Transplant
- Diet and Nutrition
- Pain Clinic
- Minimally Invasive Surgery
Support services
UCSF Health medical specialists have reviewed this information. It is for educational purposes only and is not intended to replace the advice of your doctor or other health care provider. We encourage you to discuss any questions or concerns you may have with your provider.




