Patients with chronic pancreatitis have the option of having an auto — meaning "self" — islet transplant after a total pancreatectomy, which is the removal of the entire pancreas. A pancreatectomy is usually performed to relieve pain in patients when all other treatments fail, but it induces permanent diabetes, requiring patients to take insulin shots or use an insulin pump for the rest of their lives.

Islet Autotransplantation for Chronic Pancreatitis
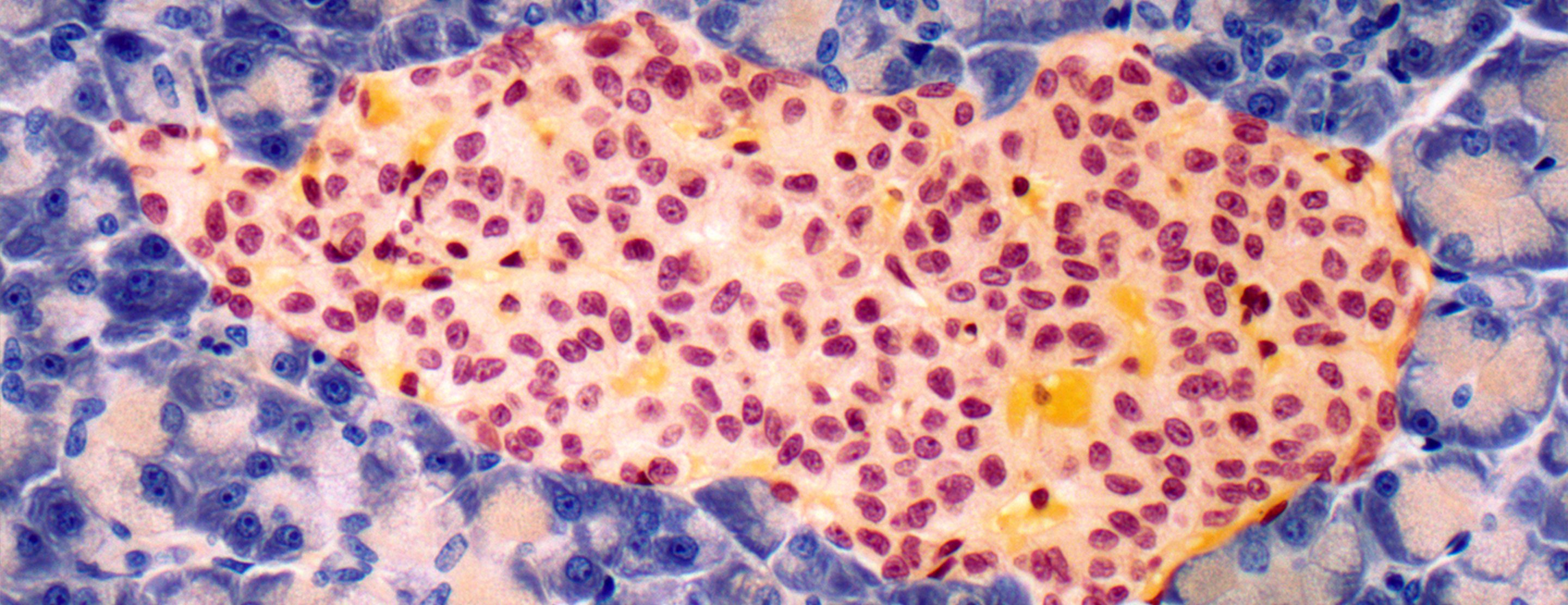
During an islet autotransplant, the patient's own islet cells are isolated from the removed pancreas. They are then put back into the patient, where they start producing insulin. The islet auto-transplant technique is a modification of an islet transplant procedure used to manage severe insulin-dependent (type 1) diabetes, in which islets are isolated from a deceased donor pancreas. In chronic pancreatitis, the patient’s own islets are used, eliminating the risk of tissue rejection.
This innovative procedure helps alleviate the pain caused by chronic pancreatitis, while preserving the patient’s ability to secrete insulin and reducing the risk of surgically-induced diabetes.
Pioneering Treatment at UCSF
UCSF is the only institution west of the Mississippi to offer islet auto-transplantation as a way to minimize diabetes after pancreatectomy. Pancreatectomy patients who have an islet autotransplant have a 50 percent chance of becoming insulin dependent for life rather than a 100 percent chance without the islet autotransplant.
The UCSF program is directed by transplant surgeon Dr. Andrew Posselt. The team includes nurse practitioners familiar with islet transplantation, pain management specialists, endocrinologists, financial counselors, dietitians and social workers. This provides a support network to manage the many issues related to chronic pancreatitis.
Our Outcomes
At UCSF, more than 100 patients have undergone total pancreatectomy with islet auto-transplantation since 2006. All have survived, and more than half did not require insulin after the procedure. In keeping with results from the few other institutions using the technique, 70 to 80 percent of our patients substantially decreased their use of pain medications, and 40 to 50 percent were able to stop taking pain medications completely.
Read about 4-year-old Lorelei's total pancreatectomy with islet auto transplantation.
UCSF Health medical specialists have reviewed this information. It is for educational purposes only and is not intended to replace the advice of your doctor or other health care provider. We encourage you to discuss any questions or concerns you may have with your provider.